Select Page

7 Warning Signs of Breast Cancer in Indian Women

Last modified on November 2023
With inputs from Dr. Deepa Vinay Nambiar - Obstetrician and Gynecologist

In all truthfulness, a cancer diagnosis is the last thing you want to hear from your doctor. Known for its aggressive nature, the word “cancer” still tends to instil immense fear in the hearts of people. However, cancer, when detected early can be treated and in many cases have been successfully eradicated from bodies of individuals post early detection. As cancer comes in many forms, breast cancer is one such type that is common among women. Instead of fearing the disease, fear a delayed detection. MFine brings expert opinions from some of the country’s leading specialists to your doorstep. Are you still afraid that you might be at risk of breast cancer?

Here are seven warning signs of breast cancer in Indian women to look out for that may help you identify and detect the disease sooner than later:

  • An abnormal change in breast size, appearance, and shape,
  • A lump/swelling felt in the breast or under the arm
  • Peeling, scaling, and crusting around the skin of nipple/breast skin
  • Nipple pulled inward into the breast instead of pointing outward
  • Uncommon discharge or bloody discharge from your nipples (other than breast milk)
  • Red, scarred skin (like the skin of an orange) over the skin of the breast
  • Thick or firm tissue felt near your breast or under your arm

Before we go into more detail about these 7 warning signs of breast cancer, let’s also look at what breast cancer is, and how it is caused and diagnosed.

Last modified on November 2023
With inputs from Dr. Deepa Vinay Nambiar - Obstetrician and Gynecologist

In all truthfulness, a cancer diagnosis is the last thing you want to hear from your doctor. Known for its aggressive nature, the word “cancer” still tends to instil immense fear in the hearts of people. However, cancer, when detected early can be treated and in many cases have been successfully eradicated from bodies of individuals post early detection. As cancer comes in many forms, breast cancer is one such type that is common among women. Instead of fearing the disease, fear a delayed detection. MFine brings expert opinions from some of the country’s leading specialists to your doorstep. Are you still afraid that you might be at risk of breast cancer?

Here are seven warning signs of breast cancer in Indian women to look out for that may help you identify and detect the disease sooner than later:

  • An abnormal change in breast size, appearance, and shape,
  • A lump/swelling felt in the breast or under the arm
  • Peeling, scaling, and crusting around the skin of nipple/breast skin
  • Nipple pulled inward into the breast instead of pointing outward
  • Uncommon discharge or bloody discharge from your nipples (other than breast milk)
  • Red, scarred skin (like the skin of an orange) over the skin of the breast
  • Thick or firm tissue felt near your breast or under your arm

Before we go into more detail about these 7 warning signs of breast cancer, let’s also look at what breast cancer is, and how it is caused and diagnosed.

Chapter 1: What is Breast Cancer?

As the name suggests, breast cancer is a form of cancer that develops in the cells of the breasts. It primarily affects women, but can also affect men (more common among the older men)

How the Cancer Starts: An Overview

Post puberty, a woman’s breast transforms to comprise of fat, connective tissue, and lobules. The primary aim of these lobules is to produce milk for breastfeeding, and the milk ducts carry milk towards the nipple.

In cancerous cases, the cells multiply abnormally and – contrary to the general process – do not die out in their life cycle at the usual time. This excessive cell growth results in cancer simply because the breast tumour deprives the cells and consumes most of the nutrients and energy

Breast Cancer

Breast Cancer

“About 1 in 28 Indian women will be diagnosed with breast cancer in India”

Summary:
Breast cancer occurs when healthy breast cells begin to grow and accumulate uncontrollably, forming a lump/mass. Remember that if undetected, the cells may travel to your lymph nodes under the arms or to other parts of your body.

Consult with a gynaecologist in just 1 step to find out more about breast cancer

Chapter 2: Symptoms of Breast Cancer in Indian Women

symptoms of breast cancer

Catching the early signs and symptoms of breast cancer is one of the trickiest aspects of the medical condition. It is crucial to keep a close eye at the warning signs of breast cancer for your convenience which may go undetected by the human eye but can be seen on a mammogram. Needless to say, getting a mammogram screening every six months is worth the pain and effort!

Important:

“Breast cancer is one of the most treatable forms of cancer if detected early on. When I consult my patients, I always tell them to start doing regular breast self examinations. You’d be surprised at just how effective such a simple breast cancer screening technique can be in identifying abnormalities and aid in the early detection of breast cancer.”

– Dr Deepa Vinay Nambiar, Obstetrician and Gynecologist

It’s also important to remember that different kinds of breast cancer for women will show varying degrees of symptoms which include:
A. Outer Changes:

  • An abnormal change in breast size, appearance, and shape,
  • A lump/swelling felt in the breast or under the arm
  • Peeling, scaling, and crusting around the skin of nipple/breast skin
  • Nipple pulled inward into the breast instead of pointing outward
  • Uncommon discharge or bloody discharge from your nipples (other than breast milk)
  • Red, scarred skin (like the skin of an orange) over the skin of the breast
  • Thick or firm tissue felt near your breast or under your arm

B. Inner Changes:

  • Painful lump in the breasts
  • Thickening of breast tissues that feels different from the surrounding areas
  • Sharp pain in the nipple and other areas

For men, the most common symptom of breast cancer is a lump in the breast tissue. Other symptoms of breast cancer include:

  • Nipple discharge or a nipple that turns inwards
  • Thickening of the breast tissue
  • Redness/scaling of the nipple
  • Sudden redness, irritation, swelling of the skin, or rash on the breast
Important:

Even though you may display one, some, or all of these symptoms, do not self-assess, panic, and declare yourself a breast cancer patient. For example, a benign cyst is capable of causing pain in your breast. So, if you demonstrate any of the breast lump symptoms mentioned above, please visit your doctor for further guidance. In addition, since most men don’t often go for a breast cancer check for signs of lumps, male breast cancer is often diagnosed at a much later stage.

Summary:
Even though the first signs of breast cancer cannot be felt or seen, they can be detected via a mammogram test or breast ultrasound. Additionally, it is vital to spend time looking at your breasts for signs and warnings – it could be done when showering or on ‘Self-Care Sundays.’

Consult with top gynaecologists online on MFine to evaluate your breast cancer symptoms better

Chapter 3: What Are the Causes of Breast Cancer in Indian Women?

The exact causes of breast cancer cannot be pinpointed or explained in exacting terms; however, we can understand – and prevent – the underlying risk factors to tackle this invasive form of cancer better.

The risk factors of breast cancer included in the seven warning signs of breast cancer include:

A. Inherited Breast Cancer: The Role That Genetics Plays

5 to 10 percent of breast cancers are linked to gene
mutations passed through generations of a family.”
– Mayo Clinic

Historically, it has been seen that women who carry certain mutations are at significant risk of developing breast cancer, ovarian cancer, or both. In this regard, the most well-known mutations of Breast Cancer Genes that women carry are BRCA1 and BRCA2. It is these genes that get passed on from generation to generation. Additionally, remember
that mutations in the TP53 gene are also known to increase the risk of breast cancer.

According to guidelines, you should undergo genetic testing if:

A. You have a family history of breast, ovarian, fallopian tube, or peritoneal cancer.

B. You have an ancestral history of breast cancer related to BRCA1 or BRCA2 gene mutations.

C. Other Risk Factors to Make a Note of:

A Particular Demographic Set:

Risk of Breast Cancer Age wise

Breast cancer research shows that women are more at risk than men. For example,
a woman who is 20-years-old will have a risk of 0.06% of developing breast cancer. Surprisingly, by the time she is 70-years-old, the chances shoot up to 3.84%.
For men too, older men are at a greater risk of developing breast cancer than younger men.

Personal Lifestyle, Genetics, & Past History of Breast Conditions:

Though less spoken about, hormonal, lifestyle, and environmental factors may increase your risk of breast carcinoma. For instance, if you have a history of developing breast conditions such as Lobular Carcinoma in Situ (LCIS) or Atypical Hyperplasia of the breast, you may develop breast cancer.
Alternatively, if you have had cancer in one of your breasts; you may develop breast cancer in the other.

B. Top Lifestyle Habits & Other Risk Factors that can Cause Breast Cancer:

Being the most common type of cancer in women, breast cancer accounts for 14% of cancers in Indian women. It is reported that with every four minutes, an Indian woman is diagnosed with breast cancer. – As per a recent survey

Dna

Causes of Cancer

Drinking alcohol

 

Causes of Cancer

Obesity

 

Causes of Cancer

Radiation exposure as a child/young adult

Causes of Cancer

Taking oral contraceptives

 

Causes of Cancer

Having periods before age 12

Causes of Cancer1

Beginning menopause at an older age

Causes of Cancer2

Giving birth for the first time after 30 years of age

Causes of Cancer3

Having never been pregnant

Causes of Cancer4

Women with dense breast tissue

Causes of Cancer5

Taking hormone therapy medications (specifically estrogen-progesterone therapy (EPT) to treat the symptoms of menopause)

Important:

In rare cases, women with no known risk factors still end up getting breast cancer. Clearly, there is no ‘universal template’ that details the exact causes of breast lumps. So keep in mind the risk factors mentioned above and proactively manage your chances of getting this disease.

Summary:
The importance of knowing your family’s health history cannot be stated enough as genes play an important role in the occurrence of breast cancer. Speak to a genetic counsellor who can help review your family’s health history; and explain the benefits, risks, and limitations of genetic testing. Think of breast cancer as a complex integration of your genetics and your

Book an online doctor consultation on MFine to get treated from the best doctors near you!

Chapter 4: Types of Breast Cancer: Stages at a Glance

While looking up the seven warning signs of breast cancer, it is important to understand the types of breast cancer and various stages of breast cancer stages.

There are four main types of breast cancer:

1. Invasive: The most common types of invasive breast cancer include:

It’s also important to remember that different kinds of breast cancer for women will show varying degrees of symptoms which include:

Invasive Ductal Carcinoma (IDC): IDC starts in your breast’s milk ducts and invades the nearby tissues. Remember that once the breast cancer metastasizes outside your milk ducts, it can travel to other nearby organs and tissues as well.

Invasive Lobular Carcinoma (ILC): ILC, on the other hand, develops in your breast’s lobules and invades nearby tissue. It can be multifocal, that is tumour tissue can originate from different points in the breast tissue.

2. Non-Invasive: There are two types of non-invasive cancers such as:

Ductal Carcinoma in Situ (DCIS): In this type of cancer, the cells are confined to the ducts in your breast. They typically don’t end up invading the surrounding breast tissues.

Lobular Carcinoma in Situ (LCIS): This cancer is confined to the lobules in the breast at the ends of milk-ducts and does not invade surrounding structures.

3. Less Common: Generally, less common types of breast cancer entail:

Paget Disease of the Nipple: This cancer begins in the ducts of the nipple, eventually affecting the skin and areola of the nipple. It is usually found associated with ductal carcinoma in-situ or invasive breast cancer.

Phyllodes Tumour: This type of rare cancer, also called Cystosarcoma phyllodes, grows in the connective tissue of the breast. While most of the Phyllodes tumours are benign, some of them can also lead to aggressive, malignant growths.

Angiosarcoma : This type of cancer grows from the cells of the blood vessels or lymph vessels lining the breast tissues.

4. Rare:
“Approximately 10-20 percent of breast cancers are triple negative, and it is more likely to affect younger people, African Americans or Hispanics, and those with a BRCA1 gene mutation.”

Triple-Negative Type of Breast Cancer: It is an extremely rare form of cancer in which the breast tumour needs to meet three criteria: It should lack estrogen receptors and progesterone receptors, and should not have cancer-fueling HER2 proteins on its surface. One of the most important things to remember is that this type of breast cancer is difficult to treat and grows more quickly than other types.

Inflammatory Breast Cancer (IBC): This rare and aggressive type of breast cancer amounts from 1 to 5 percent of all the cases. In this condition, the cells block the lymph nodes near the breasts. This prevents the lymph vessels from draining properly. In terms of inflammatory breast cancer symptoms, your breasts undergo rapid swelling, become red, be painful and feel very warm.

TNM System

Previously, the TNM system was used to diagnose the stage of breast cancer. The system was as follows:
(i) Size and extent of the tumour (T)
(ii) Lymph nodes to which cancer has spread (N)
(iii) Metastasis – Spread to other organs (M)

The Five Main Stages of Breast Cancer:

The stages of breast cancer depend on four key factors:

  • A. How large the tumour (s) is and what the symptoms of breast tumour look like
  • B. Whether the cancer is invasive or non-invasive in nature
  • C. Whether the lymph nodes are involved
  • D. How aggressively the cancer has spread to the nearby tissue or organs

Summary:
Your cancer-type and the stage you’re in will determine the ideal course of treatment and chances of recovery. Make sure to get regular checks and proper breast screening to detect symptoms early. Plus, discussing your options with a doctor can help derive a proper breast cancer prognosis and kick-start an effective treatment plan.

To understand the various stages of breast cancer, consult with top gynaecologists online on MFine!

Chapter 5: How to Diagnose Breast Cancer?

Ideally, Indian women above the age of 40 should get breast examinations every two years.

More often than not, breast cancer in India is detected as a result of routine screening or when the person approaches a doctor after seeing any of the seven warning signs of breast cancer. Today, numerous diagnostic tests and procedures can help confirm a diagnosis. These include:

A Thorough Physical Breast Exam:

This is the first step in the treatment of breast cancer. You can think of this as a routine checkup when the doctor checks the breasts thoroughly for lumps and other symptoms. The doctor will guide you throughout the breast cancer test, where you may need to sit or stand up in different postures, such as placing your arms above the head or by the sides.

Once the breast cancer exam is done, the doctor may request one or more diagnostic tests to help understand what’s causing your symptoms (more on this below).

Breast Exam

Diagnostic Imaging Tests

Mammogram

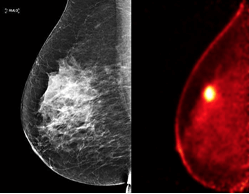
Mammogram: Simply put, a mammogram is a type of X-ray that allows you to view below the surface of your breast. Today, it is a common practice for women above the age of 40 to undergo annual digital mammography. So, if post the physical breast checkup, the doctor suspects that you may have a tumour/lumps/abnormalities, they may request a mammogram.
Also, remember that your mammogram may show breast calcifications which are nothing but calcium deposits within the breast tissue. It is a common phenomenon and is especially prevalent for women after age 50.

MRI

Magnetic Resonance Imaging (MRI): An MRI for breast cancer is usually used as a follow-up to a mammogram or ultrasound. It also doubles up as an effective breast cancer screening tool for people at higher risk of breast cancer.
An MRI can also be used to screen cancerous cells in different areas of the body, such as the spinal cord, brain, and other organs. Basically, a breast MRI combines different images of the breast (and other body parts) to help the doctor identify cancer or other abnormalities.

Biopsy

Biopsy: In a breast cancer biopsy, the doctor removes a sample of the tissue affected and sends it to the laboratory for analysis to determine whether the cells are cancerous or benign. In cases where a mammogram and an ultrasound’s results are inconclusive, your doctor may need to do a breast biopsy.
Even in a breast biopsy, there are several ways in which it can be done, such as using a needle to take tissue samples or making an incision in your breast to extract the sample.

Ultra Sound

Ultrasound: A breast cancer ultrasound uses sound waves to create an image of the deep tissues in your breast.
An ultrasound can help distinguish between a solid mass such as a tumour and a benign fluid-filled breast cyst.

The Next Steps: Post Diagnosis

Once you’re diagnosed with breast cancer, the next step involves identifying which stage you’re in. This depends on the size of the tumour and whether or not it has spread outside your breast to other areas. The following tests are used to determine how far advanced your cancer is and consequently, assist with proper treatment:

CT ScanCT Scan: This type of X-ray testing helps to create a detailed image of your organs. It helps to understand if the cancer has spread to organs surrounding the breast, such as your chest, lung, or stomach area.

Bone ScanBone Scan: A bone scan allows your doctor to check your bones for evidence of cancerous cells.

PET ScanPET Scan: In a PET scan, a dye is injected into your vein by a doctor. A 3-D camera monitors the dye and produces images of the insides of your body to identify the tumour’s location.

Summary:
Despite all the testing and counselling, getting a second opinion before starting treatment is a good idea. Additionally, it helps to speak to an expert for information on annual screening, especially if you have a family history of breast cancer.

Consult the city’s best gynaecologists online on MFine to diagnose breast cancer

Chapter 6: Breast Cancer Treatment Options In India

1 IN 28 women is likely to develop breast cancer in India
The seven warning signs of breast cancer can help detect the condition early and get treatment in the early stages. The treatment methods chosen, which depend on the tumour size and type, cancer stage, the person’s sensitivity to hormones, their age, and overall health, and grade (expected growth and spread) of the tumour. To tackle various stages of breast cancer and their symptoms, you can benefit from the different methods of treatment available today:

A. Breast Surgery & Types

The most common type of treatment recommended for breast cancer is surgery. Several types of surgical procedures may be used to remove breast cancer:

Lumpectomy: It involves removing the tumour and a small amount of the surrounding healthy tissue, keeping the rest of the breast intact. This option can be considered if the tumour is small and easy to separate from the surrounding tissue.

Mastectomy: The surgeon removes an entire breast, including the lobules, ducts of the breast, fatty tissue, nipple, areola, and some skin. In some cases, the surgeon also removes the lymph nodes present in the axilla and muscle in the chest wall. In the case of a double breast cancer mastectomy, both breasts are removed.

Sentinel Node Biopsy: A few of the sentinel lymph nodes – the initial set of nodes to which breast cancer can spread – are tested and removed. If they don’t have cancer, no additional surgery is required to get rid of the lymph nodes.

Axillary Lymph Node Dissection: Lymph nodes removed during a sentinel node biopsy may contain cancer cells. Hence, additional lymph nodes may be removed in the armpit. As you can imagine, this prevents the cancer from spreading.

Contralateral Prophylactic Mastectomy: Used more as a preventive measure, this breast cancer surgery is often opted for to remove a healthy breast to reduce the risk of developing breast cancer again In women who have or have had breast cancer in the other breast.

Reconstruction Surgery: Contrary to popular belief, breast removal has adverse psychological effects. This type of breast cancer surgery allows surgeons to reconstruct the breast to make it appear natural. During the procedure, the surgeon can either reconstruct the breast while performing a mastectomy or do it at a later scheduled date. However, to reconstruct the breast, the surgeon will use breast implants or healthy tissue from another part of the body.

Additional treatments available at your disposal include:
B. Chemotherapy

Chemotherapy is a cytotoxic drug treatment used to kill breast cancer cells to prevent breast cancer recurrence or spread. This treatment option is generally used in conjunction with surgery.

In some cases, doctors recommend chemotherapy before surgery to shrink the tumour and make its removal easier. Chemotherapy has many unavoidable side effects, so make sure to air your concerns with your doctor before commencing treatment.

C. Radiation Therapy

Radiation therapy typically begins a month after surgery. Here, high-powered external beams of radiation are used in controlled doses to target and kill cancer cells. In the internal type of radiation treatment, surgeons place radioactive seed implants inside the body near the tumour for a short period of time to destroy the cancer cells.

D. Hormone Therapy

If your breast cancer type is sensitive to hormones, you may need to opt for hormone therapy. This type of therapy works by blocking your body’s production of estrogen and progesterone, which can stimulate the growth and progress of breast cancer tumours. It also helps to block the hormone receptors on the cancer cells.

Additionally, remember that hormone-blocking therapy may be the only option for people who cannot undergo surgery, chemotherapy, or radiotherapy. Also, this treatment will not affect cancers that are not sensitive to hormones.

E. Medications

Believe it or not, certain treatments can effectively target specific abnormalities or mutations in cancer cells. For instance, Herceptin (trastuzumab) can block your body’s production of the HER2 protein that is responsible for boosting cancer cell growth, thereby slowing down the progression of breast cancer.

Summary:
As with any type of cancer, treatment options for breast cancer have severe side-effects – both physical and psychological. It is paramount that you discuss the potential risks with a doctor and look at ways to minimize the side-effects.

Consult with the best gynaecologists online on MFine to evaluate your treatment options

Chapter 7: Breast Cancer Prevention Tips

You might think that when it comes to the seven warning signs of breast cancer, there’s only so much you can control, right? Think again. While this type of cancer may not be preventable, you can mitigate the risk factors by following a healthy lifestyle and taking preventive measures outlined below:

Engaging in Regular Breast Screenings:

Regular screening ensures that you catch cancer in the early stages so that it can be treated.

According to the American College of Physicians (ACP), here’s the general recommendation for women at average risk for breast cancer:

Cancer Prevention

These guidelines are equally applicable to Indian women as well. While there are some differences of opinion among doctors on what is a risky breast cancer age and from when women should get breast examinations, starting to get checkups from the age of 40 is the safest option.

Important:

Please remember that recommendation and guidelines for breast screening is different for every woman. Hence, consulting your doctor is vital to understand how you should proceed.

Conducting Breast Cancer Self Exam:

Truth be told, breast self examination has become something of a norm. Ideally, you should do this exam once a month about a week after your period, especially if your age is over 20 years. Doing self-exams can help you become familiar with how your breasts normally appear and feel so that you can easily identify any abnormalities such as lumps/swelling or any of the seven early warning signs of breast cancer.

Maintaining a Healthy Lifestyle:

You need to ensure that you follow a healthy lifestyle, consume a healthy diet, complete with plenty of fresh fruit and vegetables; and get regular exercise to prevent weight gain and thereby, lower your risk of getting breast cancer. If you wish to follow a specific breast cancer diet, please consult your doctor.

Avoiding Drinking Too Much Alcohol:

Binge drinking is a complete no-no. Ideally, you should limit your alcohol intake to a minimum. Speak to your doctor to understand the ideal intake amount.

People who are genetically at higher risk can always opt for preventive medications and preventive surgery – but not before discussing the way forward with their doctor. Your doctor may recommend that you be tested to find out if you definitely have the breast-cancer causing gene. In case you do have a predisposition, you may need to get your breasts surgically removed.

Quitting smoking:

In premenopausal women, smoking and tobacco usage has been found to be a high-risk factor towards developing various types of cancers, and most importantly, breast cancer. Quit smoking Period.
People who are genetically at higher risk can always opt for preventive medications and preventive surgery – but not before discussing the way forward with their doctor. Your doctor may recommend that you be tested to find out if you definitely have the breast-cancer causing gene. In case you do have a predisposition, you may need to get your breasts surgically removed.

Summary:
People today are increasingly aware of what the risk factors are and how to reduce it, what breast cancer symptoms in women look like, and what kinds of treatment they should be getting. Additionally, there are useful apps and online breast cancer communities which people can join to connect with others and gain practical advice and support.

Schedule an appointment with the city’s top gynaecologists to detect symptoms early

Chapter 8: Frequently Asked Questions on the Warning Signs of Breast Cancer

Q1. What is breast cancer?

Breast cancer is a form of cancer that occurs in the cells of the breasts.
It can occur in women and rarely in men.

Q2. What are the types of breast cancer?

Typically, breast cancer can be divided into two main types: Invasive and Non-Invasive. Some of the most common types of breast cancer under these categories include Ductal Carcinoma in Situ, Invasive Ductal Carcinoma, Inflammatory Breast Cancer, Triple Negative Breast Cancer, and Metastatic Breast Cancer.

Q3. What are the symptoms of breast cancer in females?

The initial symptoms of breast cancer and clinical manifestations of breast cancer for women include a newly-formed lump in the breast or underarms, thickening/swelling of breast parts, irritation of breast skin, redness and flaky skin in the nipple area, the occurrence of a painful retracted nipple, bloody nipple discharge, and unexplained changes in the size or shape of the breast.

Q4. How common is breast cancer?

Breast cancer incidence is at an all-time high. As per Sentier Health, it currently ranks as the number one cancer among Indian females with an age-adjusted rate as high as 25.8 per 100,000 women and comes with a mortality rate of 12.7 per 100,000 women.

Q5. What is the breast cancer survival rate? Is breast cancer curable?

Breast cancer survival rates vary depending on multiple factors. According to the ACS, “In 1975, the 5-year survival rate for breast cancer in women was 75.2 percent. But for women diagnosed between 2008 and 2014, it was 90.6 per cent. Five-year survival rates for breast cancer differ depending on the stage of diagnosis, ranging from 99 per cent for localized, early breast cancer-stages to 27 per cent for advanced, metastatic cancers.”

Q6. What is the best way to see breast cancer images?

Mammogram images of breast cancer are the best way to examine your breasts and understand the stage and type of cancer you may be having.

Q7. Where are the breast cancer lumps usually found?

Cancerous lumps can be found in any part of the breast or nipple, but they’re most commonly found in the upper outer quadrant.

On a final note, we’ve spoken about the aetiology of breast cancer, and we’ve understood how breast cancer is caused. We’ve also outlined the possible treatment options and preventive measures. All in all, when it comes to the seven warning signs of breast cancer, here’s the takeaway:

“The best protection is early detection.”

Now that you’re armed with credible breast cancer information and facts, you can now deal with the illness head-on in case life decides to throw a curveball your way.

Learn how to identify, diagnose, treat and prevent breast cancer by consulting with top gynaecologists online on MFine

Consult with the best doctors city right now